Sahar Attari, MS.Ed., BSDH, RDH
A Hygienists’ Overview of Halitosis and Taste Alteration
“My breath smells bad.”
“My wife told me to see my dentist to address my bad breath.”
“I can’t taste food as well as before.”
“I can’t...
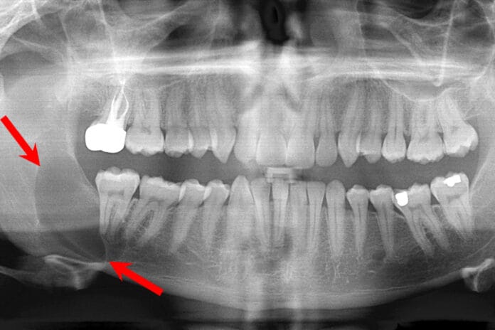
Oral Pathology: Distinguishing Cysts From Abscesses
Recently, I encountered two situations that inspired this article. I came across a periapical radiograph of a new patient with a radiolucency, presenting as...
Elder Care: Dental Hygienists Can Help Seniors Bridge Oral, Systemic Health
In this era, more people are fortunate to know their great grandparents and even their great-great-grandparents ‒ an opportunity that most of our parents...


