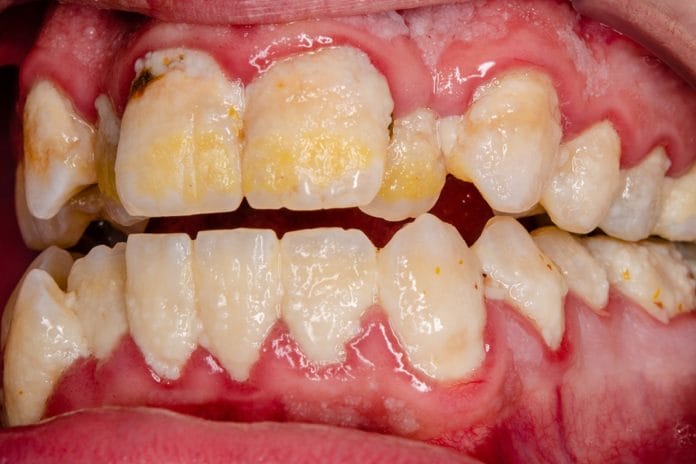
Prevotella intermedia is a species that is found in gingival crevices; it is commonly found in patients who have gingivitis, periodontal disease, and other oral infections.3 Acute necrotizing ulcerative gingivitis and juvenile gingivitis have also been found with this strand exhibited in their bacteria makeup. “The Prevotella species are small anaerobic, gram-negative rods frequently identified when the microbiome of different regions of the head and neck are determined with deep sequencing.”4 Usually, Prevotella intermedia will be found colonizing in the gingival sulcus. However, one can also find this bacteria in dental calculus, saliva, and dental plaque.4 This bacteria has been found in some cases of pericoronitis, root canals, infected teeth, and tooth extraction sites. Research has found that Prevotella intermedia is the main species found in pregnancy gingivitis.4
“The oral microbiota represents an important part of the human microbiota and includes several hundred to several thousand diverse species. It is a normal part of the oral cavity and has an important function to protect against colonization of extrinsic bacteria which could affect systemic health.”1 Biofilm will collect on any surface in the mouth, which is why it is important to brush and clean interdentally as recommended. If the biofilm isn’t removed properly or timely, it can create issues that are out of our control and can heighten or accelerate at a faster rate; meaning if a patient is already compromised with gout and/or hyperuricemia, and the biofilm isn’t removed daily as recommended, this can cause oral diseases to progress faster than it would in a non-compromised patient. When systemic diseases compromise the human body, it is important to educate and reduce the body’s susceptibility by controlling the factors that can be controlled.
A recent research study looked at patients who have gout and/or hyperuricemia (HUA) using a quantitative approach. Gout is a form of arthritis caused by the build-up of uric acid crystals in the joints. Hyperuricemia (HUA) is an excess of uric acid in the blood. Gout is a systemic disease, and HUA is a notable risk factor for gout, this is why this research was done. “The composition of the salivary microbiota has been closely linked to multiple systemic diseases such as cardiovascular diseases and diabetes mellitus, as well as preterm delivery of low birth weight infants.”2 The oral-systemic link for gout has been unknown for a very long time, until this research.
The research showed that patients with gout and HUA had significantly higher salivary Prevotella intermedia content than in the control groups. Bidirectionally, the oral microbiota was drastically altered when patients have gout or HUA.2
The pH of the saliva is an important factor when it comes to rapid salivary testing for systemic diseases. The research showed saliva with lowered pH levels leads the oral microbiota to create pathological conditions in the oral cavity.2 In other words, when the pH is acidic, the environment is ideal for bacteria to grow and create damage to the oral cavity. Patients who suffer from gout and hyperuricemia, have a higher count of Prevetella intermedia in their saliva, thus creating the acidity of the pH to be lower than an individual who isn’t compromised.
“The researcher’s investigated the global differences in salivary microbiota among patients with gout and HUA. The research team quantified the composition of bacterial flora in saliva samples obtained from the gout patients, HUA patients, and healthy controls by 16S rDNA sequencing using the Illumina HiSeq 2000 sequencer. This approach can identify more than 500 prevalent human bacterial species, with up to 100,000 bacterial sequences per sample. This comprehensive and highly sensitive analysis provides a new approach to investigating the relationship between gout/HUA and oral microbial composition.”2 This research lead to the conclusion that patients who have gout and/or HUA are more susceptible to periodontal disease or periodontitis because of the oral-systemic link that is evident in this research study.
Understanding how the body works, and how it is negatively affected by extrinsic factors like alcohol, drug abuse, and cigarettes and how it can be positively affected by proper medication and care, is pivotal in providing overall care for patients. As much as we want the oral cavity to be included in medical appointments, it’s important for us as providers to see and recognize the overall picture when treating patients in our chair too.
There are many issues in the oral cavity directly related to bacteria and oral microbiota. Caries lesions, diseases, pathology, and even oral cancer, colonize from bacteria that is present in the mouth. Making sure that as healthcare providers, we are educating our patients, and using our extensive knowledge to help detect signs and symptoms of undiagnosed issues, can help reduce the severity of oral issues for the patients.
With the understanding that conditions like gout and HUA can negatively affect the oral microbiota and general health of the oral cavity, we can now use this as an adjunct tool when treating periodontal patients and periodontal maintenance patients. It makes sense that these conditions would affect the oral cavity, now it’s up to us to use this information to help create a healthy oral cavity for the patients.
Using this knowledge can prove important to getting patients on board with better oral health care at home and coming for more frequent appointments than once a year or every six months. Helping patients see the link to whole body health will hopefully help with treatment plan compliance in the future as well.
Resources
- Arweiler, N. B., & Netuschil, L. (2016). The Oral Microbiota. Adv Exp Med Biol.2016;902:45-60. Retrieved from https://www.ncbi.nlm.nih.gov/pubmed/27161350
- Liu, J., et al. (2018, September 19). Analysis of Oral Microbiota Revealed High Abundance of Prevotella Intermedia in Gout Patients. Cell Physiol Biochem. 2018;49:1804–1812. Retrieved from https://www.karger.com/Article/FullText/493626
- Prevotella intermedia. (2012). Medical Dictionary for the Dental Professions. Retrieved from https://medical-dictionary.thefreedictionary.com/Prevotella+intermedia
- Prevotella. (2015). Retrieved from https://www.sciencedirect.com/topics/immunology-and-microbiology/prevotella











