Brooke Sergent, RDH, BS
The History of Orthodontics from Ancient Egyptians to Modern Times
If you walk into any school in the United States, chances are you will be greeted by children in orthodontics. While I was fortunate...
The Unofficial Guide to National Children’s Dental Health Month
February is National Children's Dental Health Month, and if you are like me, you scour the internet for presentation ideas as you prepare to...
The Dental Professional’s Vital Role in Identifying Primary Immunodeficiencies
A dental patient recently expressed frustration and concern about her son during her hygiene appointment with me. Her son is not a patient of...
Tooth Regeneration Therapy: Regrowing Teeth May Soon Be Possible
Working in a rural dental office, it’s common to see extractions on the daily schedule. The few oral surgeons in our area seem to...
Fun Teeth Facts of Different Animals, Including Slugs!
Most dental professionals, if not all, find themselves gravitating towards any and all things dental. It's second nature, and we cannot mask it. Whether...
Instrument Sharpening by the RDH: The How and Why
I can almost vouch with utmost certainty that one of the most exhilarating events for a dental hygienist is receiving and opening brand-new instruments....
Halloween: A Sweet Balance of Dental Health and Celebration
'Tis the season of football, cooler temperatures, sweaters, pumpkins, and exquisite leaf foliage. While summer is my jam, I do love the beauty and...
A Dental Hygienist’s Heart: The Depth of Patient-Hygienist Relationships
When I write a dental article, it is usually full of research and nerdy information that I find myself geeking out as I dive...
What Is the Correct Sequence of Brushing and Flossing?
Perhaps one of the oldest dental questions to date could quite possibly be one of the simplest tasks of all, and yet, it is...
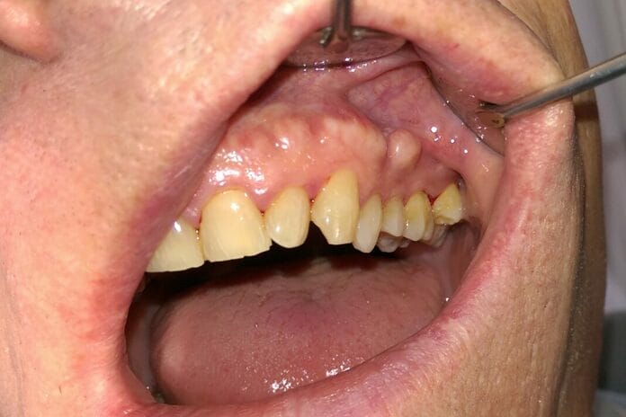
Tori and Exostoses: A Hygienists’ Review and Removal Methods
I recently stumbled across a video of a young female showcasing her "weird" abnormality that she thought was very peculiar. It was so peculiar...
Saliva: How a Seemingly Unimpressive Fluid Aids in Oral Health and Diagnostics
Saliva seems unimpressive to many. Those who do not bother to look further than the lubrication it offers to the oral cavity may fail...
A Hygienists’ Overview of Obstructive Sleep Apnea and Inspire Upper Airway Stimulation Therapy
Many people do not make the correlation between sleep apnea and dentistry, and it is overlooked or goes unmentioned in the dental setting. However,...
Human Sex Trafficking: Who’s in Your Dental Chair?
How well do you know the patient sitting in your chair? Have you ever taken the time to assess what story their behavior, appearance,...
How I Beat the Dental Blues by Remembering Why I Started
Like most typical teenagers, I toyed with many ideas throughout my high school career. Initially, I wanted to be an architect. After a brief...
Teeth Stress Lines: How Teeth Are Archives of Our Past
Researchers have been utilizing tree rings for years to determine a tree's age and the environmental factors that influence the development of a tree....
A Dental Hygienists’ Overview of Temporomandibular Joint (TMJ) Replacement
Total joint replacements are surgical procedures that replace a damaged or arthritic joint with a prosthetic joint. This procedure is common knowledge among the...
Is Smokeless Tobacco Safer than Cigarettes?
As if cigarettes aren't enough of a battle, there is also smokeless tobacco (SLT) that plagues the population. The smokeless tobacco industry sold a...
Deafening Truth: Without Ear Protection, Hearing Loss Plagues Dental Professionals
Dental professionals have always been masters of personal protection equipment (PPE). Despite being covered from head to toe in gowns, gloves, masks, head coverings,...
Are Cigarettes More Addictive Today? A Comparison of Cigarettes Now and Then
A patient spoke to me about her efforts in tobacco cessation. She had recently stopped smoking for the second time in her life, but...
Chewing into Nutrition: Foods that Help Promote a Healthier Oral Biome
Details about the foods dental patients eat seem to be a natural conversation for dental hygienists to initiate in the pursuit of a healthier...



















