Today's RDH
Study Investigates Oral Health Awareness and Pregnant Women
Studies have found there is a strong correlation between pregnancy outcomes and a pregnant woman's oral health. The topic of how well health professionals...
Research Compares Flossing Techniques for Patients with Type I Gingival Embrasures
The Journal of Dental Hygiene recently published a study titled "Efficacy, Safety and Patient Preference of Knotted Floss Technique in Type I Gingival Embrasures" in their February...
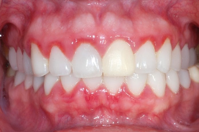
Study Examines Home Care and Healing after Periodontal Surgery
Periodontal disease has been linked to a wide range of systemic diseases when left untreated. Researchers are working to prevent this by conducting several...
Study Shows How Dental Professionals Can Help Prevent Musculoskeletal Disorders
The Journal of Dental Hygiene recently published a study that focused on a major occupational hazard commonly associated with dental professionals. The article, titled...
Test Your Oral Cancer Knowledge!
Disclosure: This quiz is sponsored content from DenMat as part of our sponsored partner program.Let's test your oral cancer knowledge!
Clinical Trial Shines Spotlight on Dental Hygiene and Desquamative Gingivitis
The result of a recent study highlights how a structured plaque control intervention can help patients who have desquamative gingivitis. The research, which was published...
Dental Hygienists and Oral Rapid HIV Testing Study
Scientists at Hofstra University in Hempstead, New York recently examined the facilitators and potential barriers to implementing Oral Rapid HIV testing in the dental...
Periodontist & Professor of Dentistry Indicted in College Admission Scandal
On Monday, March 11, 2019, an affidavit was officially filed before Judge M. Page Kelley in a Boston courthouse to support a criminal complaint of college...
Colgate® Announces Recipients of the Colgate Award for Research Excellence (C.A.R.E.)
New York, New York – Colgate is pleased to announce this year’s recipients of the Colgate Award for Research Excellence (C.A.R.E.). The C.A.R.E. Program recognizes...
Pancreatic Cancer and the Dental Health Link
There is perhaps nothing more unsettling than being diagnosed with cancer. It is often a frightening and stressful time in one's life, but survival...
quip Launches Toothbrush Specifically Designed for Kids
A grown-up brush. Designed for kids.
Kids find pride in using products that look and feel like those the adults in their life use, so...
Test Your Dental Laser Knowledge!
Disclosure: This quiz is sponsored content from DenMat as part of our sponsored partner program.Let's test your dental laser knowledge!
New Research Shows Frequent Cannabis Use Can Harm Geriatric Patients’ Oral Health
Several states have made it legal for patients to use cannabis for medical purposes and recreational use. As a result, the rate of cannabis...
Link between Tongue Microbiota and Pneumonia in Geriatric Patients
A study titled, "Tongue Microbiota and Oral Health Status in Community-Dwelling Elderly Adults," sheds light on research about geriatric dentistry. The study was published...
Scientists Discover How to Regenerate Dental Pulp after Root Canal Treatment
Scientists have recently engineered a biomaterial that can help preserve a patient's tooth and keep it alive after a root canal procedure. Researchers from...
Test Your Fluoridated Toothpaste Knowledge!
Disclosure: This quiz is sponsored content from DenMat as part of our sponsored partner program.Now let's test your fluoridated toothpaste knowledge!
Periodontal Disease Bacteria Linked to Alzheimer’s Disease
A recent study has periodontists, experts in the treatment, diagnosis, and prevention of periodontal disease, encouraging patients to maintain gum health in an effort...
Study Shows Some Xerostomia Lozenges May Cause Dental Erosion
Researchers at the University of Florida in Gainesville have discovered another factor that can cause tooth erosion. According to recent data from their study, dry...
Are Dentists Prescribing Unnecessary Antibiotics?
Infection is one of the biggest risks of any surgical procedure, and no dentist wants his or her patients to suffer from ongoing problems....
Poor Dental Hygiene Linked to Active Disease Activity in Lupus
The results of a recent study highlight how periodontal disease and oral hygiene can impact the health of patients with lupus. The research, which was...
















