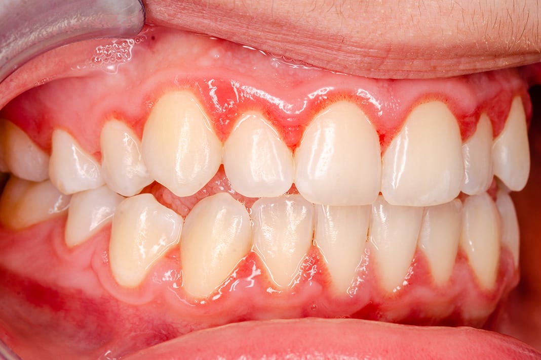
Desquamative gingivitis, or DG, is a periodontal disease caused by an excessive overgrowth of flesh-eating bacteria on any tissue determined to be gingival. The presence of DG means that our patients most likely suffer from blisters, inflammation, redness, flaking skin, tooth erosion, and the appearance of blisters. DG, and the general signs of DG, can all be caused by various mucocutaneous disorders, such as oral lichen planus (OLP), pemphigoid and pemphigus, as well as autoimmune disorders, such as lupus, plasma cell gingivitis (PCG), and collagen diseases.
Our colleagues, as they write in Oral Hygiene Instructions and Professional Control as Part of the Treatment of Desquamative Gingivitis: Systematic Review, want to know if the symptoms of DG can be maintained, and even reduced, by effective oral hygiene practices, even though DG is caused by diseases unrelated to hygiene.
Desquamative Gingivitis Symptom Control
Many different diseases can cause DG, and sufferers are usually prescribed medication, usually a steroid or an immunosuppressant, to combat the symptoms. One problem that we can run into while our patients are in the chair is that we can try and fight the symptoms of DG, but we can’t usually diagnose the cause. Without knowing the cause, how do we advise our patients on how to care for their problems?
We need to be able to tell the difference between DG and traditional periodontal problems induced by the usual bacterial offenders. But how do we do that?
In order to diagnose DG, a medical doctor or specialist must do a biopsy. So, we cannot diagnose DG, but we can help with the symptoms.
In the study, patients were given oral health instructions to be completed daily throughout the year. The participants received periodontal therapy and then were held responsible for their at-home routines.
Unfortunately, DG can cause pain, which negatively influences eating, drinking, and oral care. In this particular study, every single participant, but 2 out of the 224 patients, reported a significant decrease in pain, likely due to the decrease in erosion, blistering, and peeling that comes with great hygiene.
The difference that routine care made on these symptoms, aside from the pain issue as described previously, was universal among all participants. Without medication and complex treatments, every single patient improved in all other areas of question:
- Decrease in blisters
- Decrease in erosion
- Decrease in gingival bleeding
- Major decrease in plaque, except in sufferers with PV, or Polycythemia Vera, who improved just a little
- Overall increase in oral health and cleanliness (leading to less infection)
The largest problem with these outcomes is that each patient was part of another study and our researchers gathered information from several studies to make their point. Also, each patient was routinely checked at different times; for example, a few of those studied were checked bi-weekly while others were checked after a year.
A large plus is that many of the people studied were organized by contributing disease, and the direction of the studies was the same as our researcher’s.
Preventative Measures In Lieu of Medication
Consistent and efficient routine oral healthcare decreased the need for specialized DG care in every patient in the study suffering from any of the diseases that can cause DG symptoms.
It is essential for all of us to promote healthy habits in our patients with DG symptoms and truly emphasize just how much their quality of life will increase, in relation to the disease, just by maintaining their oral health in the way that we always suggest.
At the same time, if we notice the symptoms of DG in a patient who did not report any related immunodeficient disorder, we can suggest that they visit their doctor, just in case.










