Meghan Greening, RDH, BSDH, EFDA
Panoramic and 3-Dimensional Images: Can They Detect Potential Carotid Artery Disease?
Panoramic (PAN) and three-dimensional radiographs such as cone beam computed tomography (CBCT) provides invaluable information for clinicians for various reasons. These types of imaging...
Giant Cell Arteritis: Jaw Claudication and Oral Health Implications of Treatment
Due to the extensive knowledge of head and neck anatomy and the amount of time we spend assessing and evaluating our patients, dental hygienists...
How Hygienists Can Be the First Line of Defense Against Oral Cancer
Oral cancer awareness is something that, as hygienists, should always be at the forefront of our practice. April is Oral Cancer Awareness Month, which...
Oral Cancer: Why the Biopsy is Still the Most Important Treatment to Recommend
According to the Oral Cancer Foundation, one person in the United States dies every hour each day from oral cancer.1 Dental hygienists are often...
Oral Lichenoid Lesions: How Dental Professionals Navigate Tricky Diagnostic Steps
Oral lichenoid lesions (OLL) refer to a group of lesions that appear as white ─ or a combination of red and white ─ and...
Oral Malignant Melanoma: A Rare Neoplasm Dental Hygienists Should Monitor
The vast majority of dental hygienists are familiar with melanoma and how devastating it can be to the skin and various other organs, but...
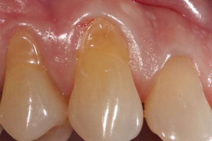
Gingival Recession: When Surgical Options Should be Considered Instead of Patient Education
Gingival recession is something most of us see in our patients’ on a daily basis. It is defined as the apical migration of gingiva,...
A Dental Hygienist’s Overview of Amyloidosis and Its Oral Implications
Amyloidosis refers to a group of diseases that cause an increase of the amyloid proteins to build up in various organs. With this disease,...
Organ Transplants: Dental Hygiene Care Should Reflect Extreme Caution
According to the United Network for Organ Sharing (UNOS), 34,893 organ transplants were completed in the United States between January and September 2023, including...
How to Recognize the Most Common Complications of Dental Implants
According to the American Academy of Implant Dentistry, 500,000 dental implants are placed in the United States annually.1 As dental hygienists, the number of...
Addison’s Disease: How Hygienists Can Help Spot Oral Signs
Addison’s disease is a disorder that was first discovered by Thomas Addison in 1885. It is defined as an endocrine disease that targets the...
Peri-implant Diseases: The Hygienist’s Role in Preserving Implant Health
The concept of dental implants is not new. Evidence of dental implants has been dated all the way back to 600 AD and the...
A Hygienists’ Overview of Sinus Augmentation and Its Role in Implant Placement
When a posterior maxillary tooth has been lost, a physiological process begins that can cause the alveolar ridge to resorb. This process can result...
Connective Tissue Disorders: Tailoring Dental Appointments for CTD Patients
A connective tissue disease or disorder is one that affects the elastin and collagen proteins within connective tissues. Connective tissues are responsible for joining...
Periodontal Disease: Explaining 2017 AAP Guidelines and Treatment Options
The American Academy of Periodontology defines periodontitis (periodontal disease) as “Inflammation of the periodontal tissues resulting in clinical attachment loss, alveolar bone loss, and...
Bell’s Palsy: Sudden Onset can Influence Home Care, Dental Hygiene Appointment
Bell’s palsy is a temporary weakness or paralysis that affects the seventh cranial nerve, commonly known as the facial nerve.2 Also known as “acute...
Musculoskeletal Disorders: Lateral (Tennis Elbow) versus Medial (Golfer’s Elbow) Epicondylitis
Both lateral and medial epicondylitis are afflictions that fall under the umbrella of musculoskeletal disorders (MSD). An MSD can be defined as "injuries affecting...
Oral Disorders: Identifying the ‘Potentially Malignant’ Lesions in Dental Patients
Dental hygienists are well-versed with oral cancer and the importance of early detection, but what about those lesions that are in limbo ─ the...
Xerostomia and Periodontal Disease: How to Customize Your Treatment Approaches
Xerostomia can be described as a “subjective sensation of oral dryness”1 with numerous causes. The most common are as a side effect from certain...
Preeclampsia and Periodontal Disease: What Hygienists Need to Know
“Preeclampsia is a disorder that occurs only during pregnancy and the postpartum period and affects both the mother and the unborn baby,” the Preeclampsia...



















